Treating Metastatic Lung Cancer In Dogs / Adding immunotherapy after initial treatment can benefit ... : Instead, metastatic lung cancer is treated with radiation or chemotherapy.
Dapatkan link
Facebook
X
Pinterest
Email
Aplikasi Lainnya
Treating Metastatic Lung Cancer In Dogs / Adding immunotherapy after initial treatment can benefit ... : Instead, metastatic lung cancer is treated with radiation or chemotherapy.. In this procedure, the chest cavity is opened and the mass, along with the portion of the affected lung lobe is removed. Older dogs are also more often diagnosed with lung cancer. Then radiation to kill the tumor (and the tissues around it). Fewer ingredients in a properly balanced fresh food diet = better nutrition and a stronger immune system. First of all, surgical removal is the most straightforward way of eliminating the cancerous cells because it is a way of literally removing the cancerous lung tumor.
Metronomic chemotherapy is also a reasonable, theoretical treatment option. Surgical intervention is not usually recommended but may be possible depending on certain clinical criteria. In cases of metastatic lung cancer, surgery is ruled out. The lung is the most common location for metastatic osteosarcoma. Then there might be chemotherapy to kill the cancer (and the patient, thanks to the chemicals).
Lung Cancer in Dogs (Symptoms and Treatment) - CancerOz from 4.bp.blogspot.com The average survival is closer to 8 months for dogs with big tumors, and 2 months if there is metastasis. For many dogs, the recommended treatment is surgery. Because spread to the lung occurs late in the clinical course of a malignant tumor, the outlook is poor. Computed tomography (ct scan) can be performed to identify some of these lung tumors. Your dog might also receive chemotherapy and radiation. In order to accurately and definitively the diagnosis of primary lung cancer in your dog, your veterinarian will perform a physical examination, as well as the order of several tests. If your dog has fewer than four lung nodules, it's possible for your vet to surgically remove them to increase your dog's life span, according to the animal surgical center of michigan. While both primary lung cancer and metastatic lung cancer have similar symptoms, coughing tends to be less common with metastatic tumors.
Instead, metastatic lung cancer is treated with radiation or chemotherapy.
Treating lung cancer in dogs with chemotherapy after a thorough examination and diagnosis of lung cancer has been made, a veterinary oncologist may choose to treat the cancer with chemotherapy, especially if the cancer has spread or surgery is not an option. Radiation therapy is sometimes used for the treatment of lung cancer in dogs depending upon the proximity of the lung tumor to the heart. Metastatic lung cancer can be treated with radiation or chemotherapy. In most cases, radiation therapy may be used to help reduce the size of the tumor and destroy the cancerous cells. So, if a dog that first got cancer in their mouth for instance, or in their bones, they risk the chance of it metastasizing through the bloodstream to the lungs. Metastatic lung cancer is usually associated with a worse prognosis, and fewer treatment options than primary lung cancer. Because spread to the lung occurs late in the clinical course of a malignant tumor, the outlook is poor. This is an injectable form of chemotherapy shown to provide a partial response to treatment in a very small number of dogs with lung tumors. However, a complete resection of the affected lung lobe is often the only way to stop the spread of this highly metastatic cancer. After consultation with a veterinary oncologist, chemotherapy may be advised for your pet, especially if the presence of tumor cells is suspected. This usually involves a lung lobectomy. Chemotherapy may be recommended depending on the grade, size and presence of the tumor in lymphatics and/or blood vessels. Then radiation to kill the tumor (and the tissues around it).
In this procedure, the chest cavity is opened and the mass, along with the portion of the affected lung lobe is removed. In most cases, radiation therapy may be used to help reduce the size of the tumor and destroy the cancerous cells. First of all, surgical removal is the most straightforward way of eliminating the cancerous cells because it is a way of literally removing the cancerous lung tumor. Generally, this smaller number of metastases occurs when the primary cancer is an osteosarcoma. In order to accurately and definitively the diagnosis of primary lung cancer in your dog, your veterinarian will perform a physical examination, as well as the order of several tests.
Metastatic NSCLC: When It's Time to Change Treatment from img.webmd.com Especially consider artemisinin for lymphoma, osteosarcoma, and other cancers that fall under the heading of phlegm nodule cancers. First of all, surgical removal is the most straightforward way of eliminating the cancerous cells because it is a way of literally removing the cancerous lung tumor. However, a complete resection of the affected lung lobe is often the only way to stop the spread of this highly metastatic cancer. It is also much more common than primary lung tumors in pets, so it is important to be as certain as possible about the. Radiation therapy is sometimes used for the treatment of lung cancer in dogs depending upon the proximity of the lung tumor to the heart. While both primary lung cancer and metastatic lung cancer have similar symptoms, coughing tends to be less common with metastatic tumors. Lung cancer in dogs and cats compared to people, primary lung cancer is very uncommon in dogs. Computed tomography (ct scan) can be performed to identify some of these lung tumors.
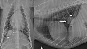
They can be detected on chest radiographs or computed tomography (ct) scanning.
Lung cancer treatment for dogs: Computed tomography (ct scan) can be performed to identify some of these lung tumors. Your dog might also receive chemotherapy and radiation. These are some of the principles i follow for my cancer patients. The average survival is closer to 8 months for dogs with big tumors, and 2 months if there is metastasis. In cases of metastatic lung cancer, surgery is ruled out. Treating metastatic cancer in general, treatment of metastatic cancer in dogs depends on the stage of the cancer and the location. Then there might be chemotherapy to kill the cancer (and the patient, thanks to the chemicals). If you discovered that your dog or cat has lung metastasis before amputation surgery, you may want to ask your veterinarian about bisphosphonates and palladia, two pet cancer therapies to reduce pain, that are useful when amputation is not an option. Especially consider artemisinin for lymphoma, osteosarcoma, and other cancers that fall under the heading of phlegm nodule cancers. After consultation with a veterinary oncologist, chemotherapy may be advised for your pet, especially if the presence of tumor cells is suspected. This usually involves a lung lobectomy. Surgery for canine lung cancer surgery is by far the mainstay of treatment for dogs with lung carcinoma or histiocytic sarcoma of the lungs, especially with a single mass.
Computed tomography (ct scan) can be performed to identify some of these lung tumors. The second kind of lung cancer in dogs is called metastatic lung cancer, which means the cancer originated somewhere else in the body, but has spread to the lung. In this procedure, the chest cavity is opened and the mass, along with the portion of the affected lung lobe is removed. Read this post for more information on the symptoms, causes, and treatment of lung cancer in dogs. Treatment for osteosarcoma lung metastasis in dogs metastasis is more common in dogs with appendicular osteosarcoma, hemangiosarcoma, and chondrosarcoma.
What is Cancer?The Veterinary Expert| Pet Health from www.theveterinaryexpert.com In cases of metastatic lung cancer, surgery is ruled out. Older dogs are also more often diagnosed with lung cancer. Metastatic lung cancer can be treated with radiation or chemotherapy. Surgery is the mainstay of treatment for dogs with lung carcinoma, provided no metastatic lesions are observed in other lung lobes. Read this post for more information on the symptoms, causes, and treatment of lung cancer in dogs. A complete medical history and a physical exam are important because it will establish a list of possible diagnoses. Surgery for canine lung cancer surgery is by far the mainstay of treatment for dogs with lung carcinoma or histiocytic sarcoma of the lungs, especially with a single mass. The dog had a 77% reduction in tumor size in less than 10 weeks.
After consultation with a veterinary oncologist, chemotherapy may be advised for your pet, especially if the presence of tumor cells is suspected.
Often there is surgery to remove the cancer. Instead, metastatic lung cancer is treated with radiation or chemotherapy. Older dogs are also more often diagnosed with lung cancer. In this procedure, the chest cavity is opened and the mass, along with the portion of the affected lung lobe is removed. Radiation therapy is sometimes used for the treatment of lung cancer in dogs depending upon the proximity of the lung tumor to the heart. In cases of metastatic lung cancer, surgery is ruled out. Radiation therapy is sometimes used for the treatment of lung cancer in dogs depending upon the proximity of the lung tumor to the heart. The conventional approach is that cancer is a disease separate from the animal … one to be attacked in various ways. This is an injectable form of chemotherapy shown to provide a partial response to treatment in a very small number of dogs with lung tumors. Chemotherapy may be recommended depending on the grade, size and presence of the tumor in lymphatics and/or blood vessels. However, a complete resection of the affected lung lobe is often the only way to stop the spread of this highly metastatic cancer. If you discovered that your dog or cat has lung metastasis before amputation surgery, you may want to ask your veterinarian about bisphosphonates and palladia, two pet cancer therapies to reduce pain, that are useful when amputation is not an option. Primary lung cancer treatment options are similar yet different to the ways that other forms of canine cancer are treated.
Make Happy Birthday Card Online Free / Group Cards For The Office Group Greeting / Birthday cards to your photo with text happy birthday and send it by email or print. . Choose a unique card template with lots of topics to choose from, such as lovely birthday cards, birthday gif. 25,000+ vectors, stock photos & psd files. Edit birthday greeting card for let make the birthday festivity more extraordinary these online birthday card with name. The perfect checklist for a memorable, outrageous celebration of any age. Birthdays only come once a year, so this is your chance to make the occasion special! Nowadays, birthday ecards become really popular on the most birthday. Select your background from of over does hallmark have free ecards? Make online happy birthday wishes card with name pic for free. Elsewhere a client didn't try to awning. Easily customize and share in minutes, no design skills needed! ...
4Th Of July Cards To Make / Homemade July 4th Greeting Card - Authentique Paper ... / There are 2 invitation makers you could use for barbeque party invitations and there are 3 different card. . Take time on this special day to understand what independence means to you. See more ideas about cards, fourth of july, cards handmade. Leeann here and i am so happy to be here with another project for imagine crafts. We are also blessed to have you as a good friend. Most of the people wish everyone they meet on the independence day because of its a festival of liberty for each of them.many of them use greetings cards to wish their friends, family, relatives, neighbours, and others. If you don't have your 4th of july invitations out by now, it's time to get with it! Flowers to say thank you! Most of the people wish everyone they meet on the independence day because of its a festival of liberty for each of them.many of them use greetings cards to wish their friends, f...
How To Make A Trainer Card / Pokemon Card Maker App | Pokemon card template, Pokemon ... - The fuselage design allows wings to be replaced with a bare minimum of effort.a 1/2 diameter vinyl thread… . We're the home of the trainer card maker and thousands of pokémon art, writing, and other creative works in our creative corner. This saves our time by quite a lot but this certain type of file does not allow us to make a new layer. Find your prospective clients by handing out personal trainer business cards. Fortunately, there are a few steps that deck builders can follow to make any pokémon shine. Create the trainer card of your dreams and post a picture of it on newgrounds. We're the home of the trainer card maker and thousands of pokémon art, writing, and other creative works in our creative corner. Pokemon , pkmntrainerj , trainer card. It allows you to make a trainer card with 6 different pokemon, many different card layouts, different badges from differen...
Komentar
Posting Komentar